高い審美性を誇る
セラミックの白さには透明感があり、天然歯に似たような色調を再現できます。神経を抜いたことで変色したような場合でも、セラミックのクラウンによって自然で美しい白さに仕上げることが可能です。
金沢市のインプラント・マウスピース矯正│大桑歯科・矯正歯科
Copyrights Okuwa Dental Clinic All rights riserved.

歯や口元の美しさを追求するための治療です。ただし、単に審美性を回復するのではなく、「しっかり噛めるようにする」などの機能面も回復させます。機能性と審美性の両方を満たすのが、審美治療といえるでしょう。
審美治療の範囲は多岐にわたります。目立ちやすい銀歯ではなく、白い素材であるセラミックを使った治療、歯の形や色調を整えるラミネートベニアなど、口元を美しく見せる治療にはさまざまなものがあります。
基本的には自費診療となるので費用がかかりますが、口元が自然に仕上がることで表情に自信が芽生えます。

セラミックは陶器と同じ素材で、天然歯のように透明感をもった白さが魅力です。インレーやクラウンとして使用すると、周囲の歯となじんで自然な歯並びに見えるようになります。これは、色味を選択して微調整できるためです。また、人体との親和性が高いので歯や歯肉にしっかり接着し、より自然な仕上がりになります。
セラミックにはいくつかの種類があり、治療する場所などによって適切なものを使用します。
セラミックの白さには透明感があり、天然歯に似たような色調を再現できます。神経を抜いたことで変色したような場合でも、セラミックのクラウンによって自然で美しい白さに仕上げることが可能です。
セラミックは陶器と同様に、表面が滑らかな素材です。吸水性が低く着色しないので、長く美しい白さを保てます。また、汚れや歯垢なども付きにくく、虫歯や歯周病のリスクを減らすことにつながります。
銀歯のデメリットのひとつが、金属アレルギーのリスクです。セラミックは非金属製なので金属アレルギーを起こす心配がありません。また、金属が溶け出すことによる歯肉の黒ずみも起こりません。

透明感のある白さが特徴のセラミックだけで作られた補綴物です。表面が滑らかで汚れが付きにくく、耐久性も高いという性質をもっています。残っている歯と色調を合わせられて自然に見えるようになり、歯や歯肉にフィットして二次虫歯のリスクも下げられます。現在使っている銀歯が目立って気になる方にもおすすめです。ただし、強い衝撃によって割れることがあります。

セラミックの一種である白い素材ですが、「人工ダイヤモンド」とよばれるほどの高い強度と耐久性を誇ります。奥歯のように強く噛む歯にも適用できます。奥歯には銀歯が使われることが多いですが、ジルコニアを入れることで目立たなくなります。金属アレルギーの心配もありません。ただ、白い色合いの自然さという点ではオールセラミックスに劣ります。また、歯を多めに削る必要があります。

中身は金属で加工され、その表面にセラミックを焼き付けた補綴物です。表面的には白く見えて汚れも付きにくくなり、ある程度の審美性を保つことができます。また、内側が金属となることで高い強度を発揮し、しっかり噛む歯にも適応できます。ただし、色調や透明感はオールセラミックスに劣ります。また、角度によっては裏側から金属部分が見える可能性もあります。

金や銀、銅、プラチナといった金属を添加した金合金で作られた補綴物です。同じ金属の補綴物に銀歯がありますが、銀歯に比べると金属アレルギーが起きにくく、歯ともしっかり密着するという性質があります。そのため、二次虫歯のリスクを抑えられます。金には柔らかいという特徴もあり、優れた噛み合わせを実現します。一方で金の色合いとなるため、口元が目立ってしまいます。

比較的小さな虫歯で使われる補綴物で、歯の一部を補う形で治療します。噛み合う部分や隣の歯と接している部分などに適応されます。奥歯の一部としてインレーを使う際には、高い強度のタイプが必要になります。
銀歯のインレーを使うと白い歯と接するため、金属のギラつきがより目立ってしまいます。セラミック系などのインレーであれば、白い歯と並んでも自然な見た目に仕上がります。

歯をひと回り削り、全体を被せるようにセットする補綴物です。大きな虫歯に適用されます。前歯から奥歯まで幅広く使われるクラウンは、見える部分がクラウンの素材となるため、銀歯のクラウンだととても目立ちます。セラミック系の白く透明感のあるクラウンであれば、周囲に残っている天然歯ともなじんで自然な見た目を実現できます。

歯の表面をごくわずかに削り、セラミック製の薄い板を貼り付けて色合いや形を改善します。主に上顎の前歯の変色や不自然な形の調整、すきっ歯などに有効です。クラウンを付ける必要がなく、歯へのダメージが最小限で済みます。処置も簡単なので、神経にも影響しません。割れたり剥がれたりすることはほとんどありませんが、歯ぎしりや噛みしめる癖がある方は注意が必要です。

「肌荒れや湿疹がなかなか治らない」
「金属アレルギーがあるけど、銀歯が入っていて不安…」
そんなお悩みの原因が、実はお口の中の金属にあるかもしれません。
歯科治療に使われてきた銀歯や金属の詰め物は、経年劣化により金属イオンが体内に吸収され、全身にアレルギー症状を引き起こすことがあります。
こうした症状がある場合、お口の中の金属が関係している可能性があります。
金属アレルギーの有無やお悩みの症状をお伺いし、必要に応じて皮膚科との連携やパッチテストをご案内します。
除去時には、吸引装置やラバーダムを使用し、削った金属が体内に取り込まれないよう配慮します。
金属の代わりに、セラミックやジルコニア、レジンなどのメタルフリー素材を使用し、見た目も美しく仕上げます。
あなたの不調、原因は「口の中」にあるかもしれません。
金属アレルギーの治療は、お口の中から体全体の健康を守る第一歩です。 「見えない不調の原因を明らかにしたい」「体にやさしい治療を選びたい」 そんな方は、ぜひ一度ご相談ください。
当院では、安心・安全な金属除去とメタルフリー修復を通して、あなたの健康をサポートいたします。
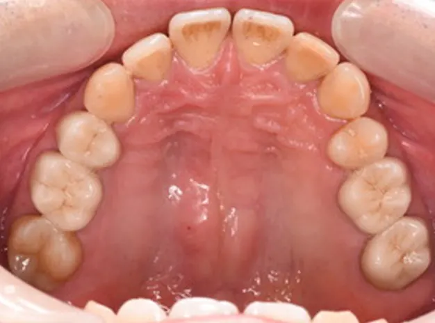
40歳男性
全身の痒みと金属の除去
上顎両側奥歯部
セラミックが欠ける可能性がある
痒みが必ずしも改善する訳ではない
6ヵ月
仮歯:6,000円×4本
ファイバーコア:5,500円×3本
オールセラミッククラウン(奥歯):110,000円×4本
ポーセレンインレー:1本
合計:546,500円(税込)
以前より全身に痒みを訴え、口腔外科より金属アレルギーの改善のため大桑歯科受診を勧められて来院。口腔外バキュームやラバーダム防湿で銀歯撤去時に金属片が飛散しないようにコントロールしながらメタルを撤去し仮歯へ置き換えました。金属がお口から少なくなるにつれて体調が良く痒みもずいぶん少なくなってき様子でした。将来の再治療をなくすためにも、丈夫で長持ちするジルコニアにて最終的な被せ物を作成しました。セラミック治療後は体の痒みや発赤がなくなり、人生が変わったようだと非常に喜んでおられました。
・審美治療としてセラミック治療を行なう場合、自費(保険適用外)での診療となり、保険診療よりも高額になります。
・事前に根管治療(神経の処置)やコア(土台)の処置が必要となることがあります。
・治療では歯を削ることがあります。また、知覚過敏を発症することがあります。
・抜髄(神経の処置)や抜歯が必要になることがあります。
・抜歯や外科処置をともなう場合、出血や腫脹(しゅちょう)を生じることがあります。
・治療で歯肉を移植する場合、二次的な出血・疼痛・腫脹(しゅちょう)が見られることがあります。
・治療後、自発痛、咬合痛、冷温水痛を生じることがあります。
・歯ぎしり・食いしばりなどの癖や噛み合わせによっては、補綴物が破損することがあります。
・セラミック製の補綴物は、金属製の補綴物よりも歯を削る量が多くなることがあります。
・噛み合わせ・歯ぎしりの強い方は、セラミックの破損を防止するため、マウスピースをおすすめすることがあります。
・機能性や審美性を重視するため自費(保険適用外)での診療となり、保険診療よりも高額になります。
・噛み合わせによっては、また歯ぎしり・食いしばりの強い方の場合は、ごくまれに割れたり欠けたりすることがあります。
・加齢により歯肉が退縮して審美的な支障をきたした場合、再治療の必要が生じることがあります。
・削る歯の量はごくわずかですが、歯がしみることがあり、症状が強い場合は神経を取ることがあります。
AIチャットに質問